CLINICAL CASES TREATED BY DENTISTS ON ASH’S 8-DAY HANDS ON COURSE
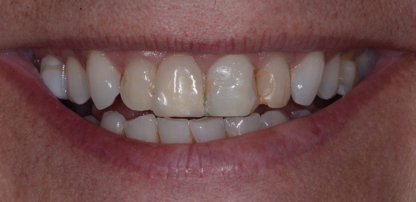
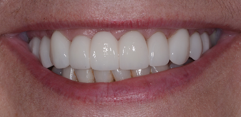
SMILE MAKEOVER BY DR MICHAEL O’BRIEN
Michael and his patient travelled from Wales to be on this Course. The patient loved her new Smile Makeover, and Michael did a fantastic job clinically from start to finish.
SMILE MAKEOVER BY DR MICHAEL O’BRIEN
BEFORE & AFTER

“Ash will shift your mindset in dentistry. He motivates, inspires and enables you to take your dentistry to the highest level. Treating a patient hands on is invaluable. Ash is a world class educator who manages to communicate his passion for smiles and pass on his wealth of knowledge. I learnt more than I ever expected whilst being filled with confidence to undertake more high level & quality dentistry. This type of learning experience cannot be replicated. A must do for anyone wanting to practice high quality dentistry.”

