CLINICAL CASES TREATED BY DENTISTS ON ASH’S 8-DAY HANDS ON COURSE
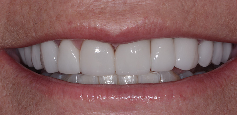
SMILE MAKEOVER BY DR AMIT PATEL
Amit treated a complex case that needed a lot of foundation work to get the mouth healthy. He did an amazing job on the Course to provide his patient a life changing smile, with improved health and function.
SMILE MAKEOVER BY DR AMIT PATEL
BEFORE & AFTER

“Two simple words for Ash…”divine and inspirational”. Ash has taught me more than just dental skills. I know I have a deep understanding on the mechanics to be successful professionally, clinically and personally. My life will change for the better. Thank you.”

